Atlas Reumatología. Vasculitis sistémicas II
MANIFESTACIONES CUTÁNEAS DE LAS VASCULITIS SISTÉMICAS (VS) II
Para desarrollar este tema se seguirá la nomenclatura y clasificación de la Conferencia Internacional de Chapel Hill del 2012. Se incluirá aquí el tercero de los subtipos dado que los otros serán incluidos en entradas específicas.
Vasculitis de pequeño vaso (Small vessel vasculitis SVV)
1. Vasculitis asociada a ANCA (ANCA associated vasculitis AAV)
- Poliangeitis microscópica (Microscopic Polyangiitis MPA).
 - Granulomatosis con poliangeitis (granulomatosis with polyangiitis GPA)
 - Granulomatosis eosinofílica con lopoliangeitis (Eosinophilic granulomatosis with polyangiitis EGPA)
 
Las manifestaciones cutáneas suelen ser frecuentes. La mayoría de estas manifestaciones vas a ser comunes para las tres AAV.
- Púrpura palpable. Además de lesiones pupúricas palpables en ocasiones se pueden encontrar petequias, equimosis, pústulas asépticas, vesículas o ampollas. Figuras 1-4
 - Nódulos y lesiones necróticas dolorosas y úlceras. Menos frecuente en la MPA. Figuras 5-8
 - Rash maculopapular (tipo eritema multiforme). Más frecuente en EGPA. Figura 9
 - Urticaria. Más frecuente en EGPA. Figura 10
 - Livedo. Más frecuente en la MPA. Figura 11
 - Úlceras orales. Figura 12
 - Síndrome de Sweet. Figura 13
 - Pioderma gangrenoso. Figura 14
 
Figura 2. Vesículas en paciente con EGPA
Figura 3. Lesiones ampollosas en paciente con EGPA
Figura 4. Ampollas hemorrágicas en paciente con GPA
- Afectación de la mucosa tracto respiratorio superior y cartílago nasal. Figura 15
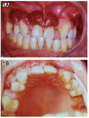
 - Hiperplasia gingival (stramberry gingivitis). Figura 16
 
Figura 14. Afectación nasal y úlceras faciales en paciente con GPA
2. Vasculitis asociadas a inmunocomplejos (Immune complex SVV)
2.1 Enfermedad por anticuerpos anti-membrana basal glomerular (antiglomerular basement membrane disease).
No suele producir afectación cutánea y hay tan sólo algunos casos esporádicos de púrpura palpable (vasculitis leucocitoclástica) que preceden al diagnóstico.
2.2 Vasculitis crioglobulinémica (cryoglobulinemic vasculitis CV).
No sé han descrito manifestaciones cutáneas características en la CV. Dicha afectación suele presentarse como las manifestaciones habituales para una SVV púrpura palpable (más frecuente), petequias, úlceras e isquemia periférica (como isquemia digital). Figuras 17-21
Figura 17. Lesiones cutáneas en CV
Figura 22. Pioderma gangrenoso en paciente con CV y hepatitis C
Bibliografía
- Jennette JC, Falk RJ, Bacon PA, Basu N, Cid MC, Ferrario F, Flores-Suarez LF, Gross WL, Guillevin L, Hagen EC, Hoffman GS, Jayne DR, Kallenberg CG, Lamprecht P, Langford CA, Luqmani RA, Mahr AD, Matteson EL, Merkel PA, Ozen S, Pusey CD, Rasmussen N, Rees AJ, Scott DG, Specks U, Stone JH, Takahashi K, Watts RA. 2012 revised International Chapel Hill Consensus Conference Nomenclature of Vasculitides. Arthritis Rheum. 2013 Jan;65(1):1-11. doi: 10.1002/art.37715. PMID: 23045170.E
 - lbendary A, Abdel-Halim MRE, Ragab G. Updates in cutaneous manifestations of systemic vasculitis. Curr Opin Rheumatol. 2022 Jan 1;34(1):25-32. doi: 10.1097/BOR.0000000000000847. PMID: 34690279.
 - Marzano AV, Vezzoli P, Berti E. Skin involvement in cutaneous and systemic vasculitis. Autoimmun Rev. 2013 Feb;12(4):467-76. doi: 10.1016/j.autrev.2012.08.005. Epub 2012 Aug 16. PMID: 22959234.
 - Micheletti RG, Chiesa Fuxench Z, Craven A, Watts RA, Luqmani RA, Merkel PA; DCVAS Investigators. Cutaneous Manifestations of Antineutrophil Cytoplasmic Antibody-Associated Vasculitis. Arthritis Rheumatol. 2020 Oct;72(10):1741-1747. doi: 10.1002/art.41310. Epub 2020 Aug 28. PMID: 32419292.
 - Giuggioli D, Manfredi A, Lumetti F, Sebastiani M, Ferri C. Cryoglobulinemic vasculitis and skin ulcers. Our therapeutic strategy and review of the literature. Semin Arthritis Rheum. 2015 Apr;44(5):518-526. doi: 10.1016/j.semarthrit.2014.10.004. Epub 2014 Oct 23. PMID: 25547031.
 - Smith JB, Shenefelt PD, Soto O, Valeriano J. Pyoderma gangrenosum in a patient with cryoglobulinemia and hepatitis C successfully treated with interferon alfa. J Am Acad Dermatol. 1996 May;34(5 Pt 2):901-3. doi: 10.1016/s0190-9622(96)90076-6. PMID: 8621825.
 


































Comentarios
Publicar un comentario